dr. Christian
admin
News
2 bulan yang lalu

Jantung yang sehat bukan hanya soal detak jantung yang ritmis, tetapi bagaimana bentuk dan ukurannya juga sangat penting. Ketika jantung membesar atau yang di sebut kardiomegali (cardiomegaly), hal itu dapat menandakan bahwa jantung sedang bekerja lebih keras atau mengalami kerusakan.
Berikut penjelasan mengapa kardiomegali bisa terjadi, bagaimana cara mengenalinya, apa saja langkah pemeriksaannya dan apa saja pilihan pengobatan yang tepat, serta pesan praktis agar Anda dapat menjaga kesehatan jantung dengan lebih baik.

Apa itu Kardiomegali?
Kardiomegali / Cardiomegaly (enlarged heart) adalah kondisi dimana ukuran jantung lebih besar dari normal. Pembesaran ini bisa melibatkan seluruh jantung atau hanya bagian tertentu (misalnya : ventrikel kiri). Kadang pembesaran jantung bisa bersifat sementara (misalnya pada kehamilan) atau menetap karena penyakit jantung seperti kardiomiopati.
Penyebab umum
Beberapa penyebab atau kondisi yang sering berkaitan dengan kardiomegali, diantaranya :
-Kardiomiopati: kelainan otot jantung yang membuat dinding menebal atau ruang atas meluas sehingga membuat jantung sulit untuk memompa darah ke seluruh tubuh secara efektif.
-Penyakit jantung koroner (PJK) / riwayat infark: kondisi di mana arteri koroner (pembuluh darah yang mengalirkan darah ke jantung) menyempit atau tersumbat akibat adanya penumpukan plak lemak, yang mengganggu pasokan darah kaya oksigen ke otot jantung. Riwayat infark sendiri adalah hasil dari PJK, di mana telah terjadi kematian jaringan otot jantung karena aliran darah ke area tersebut terhambat secara signifikan atau bahkan berhenti total, dan dapat menyebabkan kerusakan secara permanen.

-Tekanan darah tinggi (hipertensi) kronis: kondisi dimana jantung dipaksa untuk bekerja lebih keras sehingga otot menebal.
-Penyakit katup jantung (stenosis/regurgitasi): kondisi patologis anatomi jantung yang menyebabkan kenaikan volume atau tekanan berlebih pada jantung.
-Faktor lain: Infeksi (misalnya miokarditis), penyakit sistemik, gangguan metabolik, atau faktor genetik.
Gejala yang mungkin muncul
Beberapa orang dengan kardiomegali tidak memiliki gejala yang jelas sampai akhirnya kondisi memburuk. Bila muncul, gejala umum yang bisa dirasakan meliputi:

-Sesak napas, terutama saat beraktivitas atau berbaring.
-Mudah merasa lelah, penurunan toleransi terhadap aktivitas.
-Pembengkakan pada kaki/pergelangan (edema), penumpukan cairan.
-Palpitasi atau detak tidak teratur, pusing, kadang nyeri dada.
Bagaimana kardiomegali di diagnosis?
Diagnosis dimulai dari anamnesis dan pemeriksaan fisik yang dilakukan oleh dokter, lalu dikonfirmasi dengan pemeriksaan penunjang, seperti :
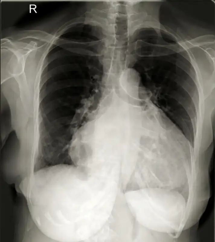
1. Rontgen dada (chest X-ray), menunjukkan ukuran jantung yang membesar sebagai temuan awal.

2. Ekokardiografi (USG jantung), paling informatif untuk menilai ukuran ruang, fungsi pompa, dan kelainan katup pada jantung
3. EKG (elektrokardiogram), menilai aritmia atau tanda iskemia.
4. CT/MRI jantung dan tes laboratorium (misalnya biomarker jantung) bila diperlukan untuk memperjelas penegakkan diagnosa dan pencarian penyebab.
Bagaimana penatalaksanaannya
Penanganan kardiomegali tergantung pada penyebab dan derajat gangguan fungsi pada jantung, diantaranya :
-Terapi penyebab spesifik : misalnya operasi/bedah atau perbaikan katup bila pada kasus valve disease, penatalaksanaan obat sistemik pada kasus penyakit koroner, pengobatan infeksi bila kasus miokarditis.
-Obat-obatan : ACE inhibitors/ARB, beta-blocker, diuretik untuk mengurangi beban volume jantung, obat antiaritmia jika diperlukan, semua terapi akan disesuaikan oleh dokter jantung.
-Terapi device / prosedur : ICD (implantable cardioverter defibrillator) atau CRT (cardiac resynchronization therapy) pada pasien tertentu dengan disfungsi ventrikel dan risiko aritmia.

-Perubahan gaya hidup : kontrol tekanan darah, pengaturan berat badan, berhenti merokok, olahraga teratur, pembatasan garam bila ada gejala gagal jantung.
Tips praktis yang dapat Anda lakukan
-Jika dokter mencurigai terdapatnya kardiomegali, jalani pemeriksaan lanjutan (echo jantung) dan jangan menunda pemeriksaan.
-Catat gejala (seperti : sesak nafas, pembengkakan, atau penurunan aktivitas) dan obat-obatan yang sedang dikonsumsi.
-Kelola faktor risiko (kontrol tekanan darah, gula darah, kolesterol, berhenti merokok, aktif secara fisik sesuai anjuran).
-Kalau mengalami nyeri dada hebat, pingsan, atau sesak berat secara mendadak, segera cari pertolongan darurat.

Cardiomegaly adalah tanda penting, bukan kalimat final. Dengan diagnosis yang tepat, penatalaksanaan yang sesuai, dan komitmen pada perubahan gaya hidup serta kepatuhan pengobatan, banyak pasien dapat menjalani kehidupan dengan kualitas yang bermakna dan lebih sehat. Bila Anda memiliki hasil imaging yang menunjukkan “jantung membesar”, diskusikan segera arti temuan itu dengan dokter untuk langkah selanjutnya. Deteksi dini dan tindak lanjut secepatnya oleh dokter sangatlah penting.
Semoga artikel ini bermanfaat bagi Anda, dan jika ada yang ingin didiskusikan lebih lanjut, kami siap membantu. Silahkan download aplikasi konsuldong, dan hubungi dokter-dokter yang akan dengan senang hati membantu Anda.
Referensi :
1. https://my.clevelandclinic.org/health/diseases/21490-enlarged-heart-cardiomegaly?
2. https://www.heart.org/en/health-topics/cardiomyopathy?
3. https://www.mayoclinic.org/diseases-conditions/enlarged-heart/symptoms-causes/syc-20355436?
Health
2 jam yang lalu

Health
1 hari yang lalu

Health
2 hari yang lalu

Health
3 hari yang lalu

Health
4 hari yang lalu

Health
5 hari yang lalu
